您好,欢迎访问 永德县人民医院 永德县医共体总医院(永德县人民医院) | 永德县中医院 | 永德县妇计中心 | 永德县疾控中心  | 乡镇医院      登录

永德县医共体总医院
永德县人民医院
急救电话:0883-5213123
综合办公室电话:0883-5211137
新闻中心
医院动态
通知公告
专题报道
院务公开
政策法规
专题报道 您现在的位置:首页新闻中心 > 专题报道
【新业务新技术】我院独立完成首例胶原酶化学溶解术治疗椎间盘突出——不开刀治疗颈、腰椎间盘突出症
文章类别:专题报道  发布时间:2024-12-12  浏览次数:14993

近日,我院疼痛科团队独立开展了县内首例胶原酶椎间盘化学溶解术,为两名腰椎间盘突出的患者解决病痛,填补了我院在脊柱源性疼痛微创诊疗领域的空白。

图片

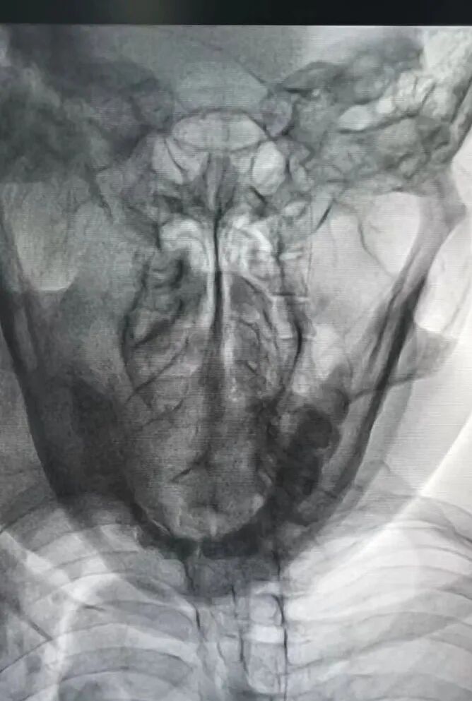
患者,杜某某,男,69岁,因腰臀部疼痛伴右下肢麻痛1年余入院,经多次治疗效果均不理想。该患者于2024年11月17日入住我院疼痛科,经完善腰椎核磁共振提示:腰椎L4-5、L5-S1椎间盘突出,突出物压迫以右侧L5-S1为主,对此疼痛科周理平主任带领他的团队对杜先生进行了右侧腰4腰5及腰5骶1腰椎间盘射频消融术+经皮腰5-S1椎间盘胶原酶化学溶解术,术后杜先生自觉疼痛明显消失。

图片

图片

患者左女士,女,55岁,因颈肩部疼痛伴双上肢麻木、疼痛5年余,不仅白天受痛,晚上也睡不好,左女士备受折磨,生活质量差,焦虑状态。曾多次进行理疗治疗,当时有所减轻,稍劳累后或遇阴雨天气均会发作,近5年来,患者颈肩部疼痛及双上肢麻木、疼痛症状反复发作,该患者于2024年11月19日入住我院疼痛科,经外院颈椎核磁共振提示:颈椎3-7椎间盘突出,以5-6椎间盘突出为甚,对此疼痛科周理平主任带领他的团队对左女士进行了颈5-6椎间盘射频消融术+经皮颈5-6椎间盘胶原酶化学溶解术,术后左女士自觉疼痛明显减轻。

图片

随着时代变化,越来越多的人在生活日益改善、工作相对轻松的同时有了新的烦恼,比如颈肩部酸痛不适,一侧上肢或手部剧烈疼痛或麻木无力,不能睡眠,甚至出现跨步无力、步态不稳、经常打软腿的现象,如果出现了以上症状,一定要警惕颈椎间盘突出症的发生。又如腰臀部疼痛不适,单侧下肢麻木、疼痛甚至无力,翻身转侧困难等多数为腰椎间盘突出症。
椎间盘胶原酶化学溶解术是我院新业务新技术,为颈椎、腰椎间盘突出的患者解决病痛,弥补了我院在脊柱源性疼痛微创诊疗领域的不足。该项新技术的开展,也为众多颈椎、腰椎间盘突出症患者提供了更加安全、高效、微创的治疗选择。


首页
新闻
电话
员工